3D-Röntgen (DVT)

DVT im Raum Bamberg: Meilenstein in der Zahnarztpraxis Dr. Max-Josef Wagner

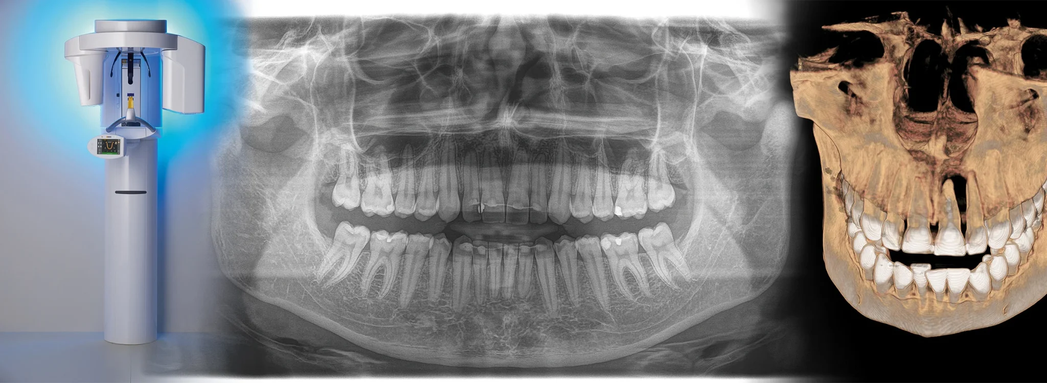
Am 01.12.2016 haben wir unser 2D/3D Röntgengerät (DVT) durch das Nachfolgemodell mit neuester Sensortechnik ersetzt. Der Hersteller Sirona (ehemals Sirona/Siemens) ist weltweiter Marktführer bei allen bildgebenden Verfahren in hochwertiger Technik. Einfachste Bedienung bei gleichzeitig geringster Strahlendosis mit besten diagnostischen Ergebnissen zeichnen die Spitzenstellung dieses „Digitalen Volumen Tomographen“ (DVT) aus.

Vorteile für unsere Patientinnen und Patienten:

  • perfekte, genaue Röntgendiagnostik bei herkömmlichen 2D-Aufnahmen, wenn nötig mit zusätzlicher räumlicher 3D-Darstellung
  • vor Beginn umfangreicher zahnärztlicher Maßnahmen, insbesondere in der Parodontologie, Endodontie und Implantologie
  • höchstmögliche Behandlungssicherheit für den Patienten
  • exakte Behandlungsplanung mit vorhersehbarem Ergebnis
  • fachübergreifend auch für HNO-Diagnostik nutzbar